
新闻动态
联系我们
陕西依科生物技术服务有限公司首页 > 试验技术指导 > 陕西PAS染色步骤及注意事项
陕西依科生物技术服务有限公司免费为您提供{陕西多重免疫组化_},{陕西石蜡包埋},{陕西石蜡切片}等一些相关信息的展示发布,请您关注本站!
PAS染色介绍
PAS染色法(Periodic Acid-Schiff stain)又称过碘酸雪夫染色,糖原染色。一般用来显示糖原和其它多糖物质。糖原染色是病理学中常规的染色方法之一,MeManus 在1946年最先使用PAS技术显示黏蛋白,该法常用来显示糖原和其他多糖,该染色液不仅能够显示糖原,还能显示中性黏液性物质和某些酸性物质,以及软骨、垂体、霉菌、真菌、色素、淀粉样物质、基底膜等。
PAS染色原理
过碘酸能使细胞内的多糖乙二醇基氧化成二醛,再与Schiff氏液的无色品红结合,呈红色,定位于胞浆上。
PAS染色应用
随着医学实验技术的发展,糖原染色应用的范围更加广泛,如用以证明与鉴别细胞内空泡状的性质,心肌病变及其他心血管疾病的诊断,糖原累积病诊断和研究 ,糖尿病的诊断和研究,用于某些肿瘤的诊断等。除用于糖原的鉴定和黏液的显示外,还可以观察肾小球基底膜、结肠杯状细胞中性黏液物质、阿米巴滋养体和霉菌的着色。临床诊断、分类和治疗提供了重要的依据
PAS染色步骤
1.陕西石蜡切片脱蜡至水:依次将切片放入二甲苯Ⅰ8min-二甲苯Ⅱ8min-无水乙醇Ⅰ 6min-无水乙醇Ⅱ6min-95%酒精 6min-85%酒精 6min-75%酒精 5min-流水冲洗;
2.滴加过碘酸氧化10min;
3.自来水冲洗1次,再用蒸馏水冲洗2次;
4.滴加雪夫试剂10-20min,镜下观察;
5.流水冲洗10min;
6.苏木素染核5min,流水冲洗;
7.分化液分化,流水冲洗返蓝;
8.无水乙醇脱水,二甲苯透明;
9.陕西中性树胶封片。
结果判读
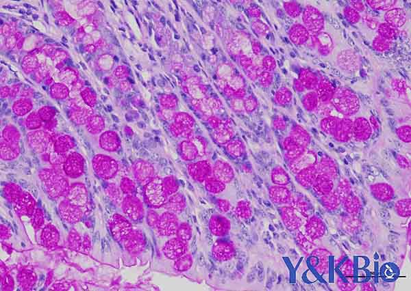
糖原、中性粘液物质、软骨基质、植物的真菌和细胞壁、上皮的基膜等均呈紫红色,细胞核浅蓝色。
注意事项
1.切片及脱蜡应该尽量干净,否则影响染色效果;
2.氧化剂氧化时间不宜过久,氧化时的温度在18-22°C最佳;
3.氧化剂和Schiff染色液应置于4℃密闭保存,使用时避免接触过多的阳光和空气。使用前,最好提前30min 取出恢复到在室温后,避光暗处使用;
4.酸性分化液应经常更换新液,其分化时间应该依据切片厚蒲、组织的类别和酸性分化液的新旧而定,另外分化后自来水冲洗时间应该足够;
5.在氧化剂和Schiff染色液中作用时间非常重要,该依据切片厚薄,组织的类别等决定;
6.本染色液常用于常规组织切片染色,对于真菌、细胞、极其薄的切片,建议采购糖原 PAS染色试剂盒(细胞真菌专用),因为其氧化剂和苏木素溶液浓度更低,不宜过染;
7.冷冻切片染色时间尽量要短;
8.为了您的安全和健康,请穿实验服并戴一次性手套操作。
结果展示


{陕西依科生物技术服务有限公司}怎么样?{陕西石蜡包埋}哪家便宜?{陕西石蜡切片}哪家好?陕西依科生物技术服务有限公司主要提供{生物科研试剂的研发、销售及相关技术服务}