
新闻动态
联系我们
陕西依科生物技术服务有限公司首页 > 试验技术指导 > 做陕西HE染色需要注意哪些
陕西依科生物技术服务有限公司免费为您提供{陕西多重免疫组化_},{陕西石蜡包埋},{陕西石蜡切片}等一些相关信息的展示发布,请您关注本站!

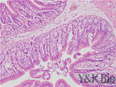
HE染色是病理染色服务中不可缺少的染色项目之一,陕西依科生物多年来一直从事病理染色服务。HE染色法是组织学、胚胎学、病理学教学与科研中较基本、使用广泛的技术方法。这种方法对组织细胞的各种成分都可着色,经过HE染色,细胞核被苏木素染成蓝紫色,细胞质被伊红染色呈粉红色。苏木素是碱性染料,蓝紫色,可以使细胞核等着色。被苏木素着色的结构本身为酸性,具有嗜碱性(Basophilic)。伊红是酸性染料,粉红色。可以将大多数细胞的细胞质染成红色。被伊红着色的结构本身为碱性,具有嗜酸性(Acidophilic)。
HE染色注意事项
陕西依科生物提醒:切片脱水透明切片经HE染色后,要彻底脱水透明,才能用陕西中性树胶封盖。如果脱水不彻底,封片后呈白色雾状,镜下观察模糊不清,且容易褪色。切片1-2级无水乙醇脱水,也可使用石炭酸二甲苯进行脱水。石炭酸有较强脱水能力,但长时间可使切片脱色,因此要经过多次二甲苯以使石碳酸完全除去。
{陕西依科生物技术服务有限公司}怎么样?{陕西石蜡包埋}哪家便宜?{陕西石蜡切片}哪家好?陕西依科生物技术服务有限公司主要提供{生物科研试剂的研发、销售及相关技术服务}