
新闻动态
联系我们
陕西依科生物技术服务有限公司陕西依科生物技术服务有限公司免费为您提供{陕西多重免疫组化_},{陕西石蜡包埋},{陕西石蜡切片}等一些相关信息的展示发布,请您关注本站!

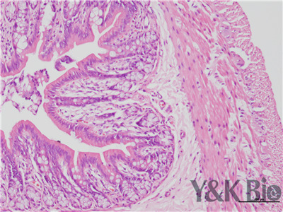
病理技术服务中HE染色法,学名苏木精-伊红染色,在法陕西石蜡切片技术里是经常用的染色法之一。石蜡切片常用于观察正常细胞组织的形态结构,是病理学用以研究、观察及判断细胞组织形态变化的主要方法。苏木精染液是碱性的 ,主要使细胞核内的染色质与胞质内的核糖体着紫蓝色 ;伊红为酸性的染料 ,主要使细胞质和细胞外基质中的成分着红色。HE染色法是组织学、胚胎、病理学教学与科研中基本、使用广泛的技术方法。
HE染色病理技术服务流程:
1:接受样本,包括石蜡切片、细胞切片、陕西冰冻切片
2:实验步骤:先将石蜡脱蜡至水,在用伊红染色,然后染细胞核
3:实验结果:染色好的玻片
HE染色中要注意细胞核的分化程度,注意苏木素和伊红的效价,及时更换染液,一般实验周期为15个工作日。
{陕西依科生物技术服务有限公司}怎么样?{陕西石蜡包埋}哪家便宜?{陕西石蜡切片}哪家好?陕西依科生物技术服务有限公司主要提供{生物科研试剂的研发、销售及相关技术服务}